- 1
- 2
- 3
- 4
- 5
- 6
診療科
一般歯科
当診療所では、虫歯、歯周病治療、根管治療などの全ての治療において、「高濃度次亜塩素酸 電解機能水」を使用しています。塩素、殺菌と聞くと身体に悪いと思いがちですが高い殺菌力を持ちながら、生体由来であり、菌と反応すると中性になり、良い菌を殺すことなく身体に害は全くありません。 また抗生物質も過剰投与による耐性菌のリスクがあるためここぞという時にしか内服をお勧め致しません。衛生管理と免疫力による治癒を基本としています。
診療科
小児歯科
むし歯、歯肉炎、不正咬合(矯正)など子供の口の状態と成長に対応した治療をおこなっています。
トラウマになるので急性期を除き、ムリに押さえつけての治療は行いません。
聞き分けが出来る3歳以上で親に甘えてしまう子は親と子を離して診療を行う「母子分離法」を行ないます。
フッ素塗布は近年になり日常的な使用がネガティブに作用するのではないかとの懸念が国際的に広がっています。
【フッ素塗布に対する懸念】
●外国で水道水にフッ素を添加している国が40か国位から現在では半減しています。
●フッ素は歯のハイドロキシアパタイトに作用し、酸に強いフルオロアパタイトに変えることで歯を強くしますが、
再石灰化には到底及ばないこと。むしろ、唾液による作用の方が強いと言われています。
●副作用に斑状歯、骨の発育不全、骨折率の上昇、ダウン症、がん、認知症が確認されています。その他、脳の機能障害、
糖尿病、奇形、乳がん、知能低下、アルツハイマー病、内分泌かく乱作用、不妊、甲状腺機能障害、胆のうがんリスクが懸念されています。
●WHOは、6歳未満の子供へのフッ素洗口を用いるべきではないとしています。
●スウェーデン、オランダ、ドイツでのフッ素の使用中止、アメリカも方向転換し始めています。
●FDA(米・食品医薬品局)がフッ素入り歯磨剤を毒物と認定しています。
●フッ素の毒性は、合成界面活性剤より危険という警告がされています。
当院では上記の理由から、フッ素塗布は乳歯列期には基本行いません。
塗布はムシ歯リスクの高い生え始めの永久歯(6歳〜)のみです。薬物感受性の高い乳幼児期には行いません。
その代わりにムシ歯にならない子供の2%の口の中に存在する善玉菌(ブリス菌)の塗布を行なっています。
フッ素を塗って安心するよりも定期的な検診、クリーニングによる衛生管理を推奨しています。
診療科
矯正歯科
小児矯正では顎の成長を補助する拡大床により永久歯を並ぶ隙を確保したり、受け口や出っ歯の矯正、永久歯列になったら歯にボタンを付けてワイヤーで歯をキレイに並べたりします。お子さんの歯並びが気になっていたらお早めにご相談ください。
成人矯正では通常のボタンを付けてワイヤーで並べる矯正や取り外し可能の透明なマウスピース矯正を行なっています。矯正中は苦行ですが、見た目はモチロンのことですが歯並びが良いとお掃除しやすくなり汚れが溜まりづらく、将来のムシ歯や歯周病のリスクを大幅に減少することが最大のメリットです。
診療科
口腔外科
口腔外科第1.5次医療機関として、歯牙脱臼や歯槽骨骨折等の外傷、智歯周囲炎(おやしらず)・嚢胞・顎関節症・口腔乾燥症などの口腔外科的疾患を扱います。入院や大きな手術が必要な一部の疾患については各専門医療機関をご紹介します。かかりつけ歯科からご紹介を受けお越しになる際は診療情報提供書(紹介状)および服薬内容がわかるものを必ずお持ちください。
インプラント
インプラント治療とは天然の歯と見まがう「第二の永久歯」
インプラント治療は、歯を失った際の治療法の中で、唯一、残されたご自身の歯に負担をかけない画期的な治療法です。
失った歯の代わりに、チタン製の小さなネジ状の「インプラント」を顎の骨に埋め込み、それを土台として人工の歯を装着します。インプラントが骨と強固に結合することで、まるで天然歯の根っこ(歯根)のような役割を果たし、天然歯とほぼ変わらない見た目と噛み心地を取り戻すことができます。
硬い食べ物でも気にせずしっかりと噛める、そして周囲の視線を気にせず自然な笑顔で会話ができる。
インプラント治療は、歯を失う前と同じように、豊かな食生活と自信に満ちた日常を取り戻すことを可能にします。
サージカルガイドで正確性と安全性を極めた
インプラント治療へ
サージカルガイドは、インプラント手術の正確性を飛躍的に高めるために開発された、カスタムメイドのマウスピース状の器具です。
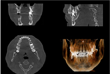
事前のCT検査やシミュレーションで導き出された「インプラント埋入の最適な位置、角度、深さ」を、このガイドが手術中に正確にアシストします。
これにより、血管や神経などの重要な組織を傷つけるリスクを最小限に抑え、シミュレーション通りの安全で低侵襲な手術を実現します。術後のトラブル防止にも大きく貢献し、患者様により安心できるインプラント治療を提供します。
治療法比較インプラント、入れ歯、ブリッジのメリット・デメリット
当院では、患者様のお口の状態、全身の健康、そしてご希望を詳しくお伺いした上で、最適な治療法をご提案いたします。まずはお気軽にご相談ください。
インプラント
メリット
- 自分の歯とほぼ同じ快適な噛み心地で、食事を心から楽しめます。
- 周囲の健康な歯を一切削る必要がないため、ご自身の歯を長く残せます。
- 天然歯とほとんど変わらない自然な見た目で、不自然さがありません。
デメリット
- インプラント体を埋め込む外科手術が必要です。
- 基本的に保険適用外のため、治療費が高額になることがあります。
入れ歯
メリット
- 健康な歯をほとんど削らずに済むことが多いです。
- 治療が比較的簡単で、治療期間が短いです。
- 保険診療のものを選べば、比較的安価に治療が可能です。
- 自由診療の材質により、目立たない自然な入れ歯も作製できます。
デメリット
- 硬いものが食べづらいなど、噛む力や安定性に劣ります。
- 食べ物が挟まりやすく、虫歯や歯周病のリスクが高くなることがあります。
- 部分入れ歯の場合、留め具をかける歯に負担がかかり、その歯の寿命が短くなる可能性があります。また、留め具の見た目が気になることもあります。
ブリッジ
メリット
- 歯に固定されるため安定性が良く、違和感が少ないです。
- 治療期間が短く済みます。
- 保険診療のものを選べば、比較的安価に治療が可能です。
- 自由診療の材質次第で、きれいな見た目のものが作製できます。
デメリット
- 失った歯の両隣の健康な歯を大きく削る必要があります。
- 土台となる歯に負担が集中するため、その歯の寿命が短くなるリスクがあります。
- 土台の歯と歯肉の間に食べ物が挟まり、虫歯のリスクが高くなることがあります。
安心のプロセスインプラント治療の流れ
当院では、患者様にご納得いただいた上で、安全かつ確実なインプラント治療を提供するため、以下のステップで進めてまいります。
1 カウンセリング:治療への第一歩
まず、患者様の治療に対するご要望や、抱えている疑問点、不安なことなどをじっくりとお聞かせいただきます。この対話を通して、患者様にとって最善の治療の方向性を探ります。
2精密検査と治療計画のご提案
安全かつ確実な治療の土台を築くため、歯科用CT、レントゲン、口腔内写真撮影など、各種精密検査を実施します。高性能な設備を用いてお口や顎の骨の状態、そして全身の健康状態まで正確に把握し、インプラント治療の適性を判断いたします。
※検査の結果、インプラント治療が適さないと判断される場合もございます。まずはご相談ください。
検査結果に基づき、診断内容と治療計画を詳細にご提案いたします。必要なインプラントの本数、治療にかかる費用、期間など、すべてを丁寧かつ分かりやすくご説明します。当院では「インフォームドコンセント(説明と同意)」を徹底しておりますので、ご不明点や不安な点は遠慮なくご質問ください。治療計画にご理解・ご納得いただき、十分にご検討いただいた上で治療をスタートします。
3安全確保のための前処置
インプラントを安全に行うためには、お口の中の環境を整えることが非常に重要です。必要に応じて、虫歯や歯周病の治療、あるいは顎の骨が不足している場合の骨造成(骨を増やす再生治療)などを行い、インプラント治療に最適な口腔環境へと改善します。
4インプラント体(人工歯根)埋入手術
確実性と安全性を高めるため、事前に作製したサージカルガイドを使用し、インプラント体(人工歯根)を顎の骨に正確に埋入します。手術は通常、局所麻酔下で行うため、痛みを感じることはほとんどありません。手術翌日以降からは、多くの方が普段通りの生活を送ることが可能です。
5治癒期間(骨との結合期間)
埋め込んだインプラントが顎の骨としっかりと結合するのを待つ大切な期間です。個人差がありますが、平均で2〜6ヶ月程度を要します。期間は、患者様の年齢や健康状態、骨の質、埋入部位(上顎か下顎か)によって異なります。この期間も、通常通りの食生活を送っていただけます。
6上部構造(人工歯)の製作・装着
インプラントと骨の結合が確認できたら、上部構造(人工歯の被せ物)を製作するための型採りをします。型採りの後、1〜2週間ほどで人工歯が完成します。一度装着して様子を拝見しながら、違和感のない自然な噛み合わせになるよう丁寧に調整を重ねます。
7治療後のメンテナンス
インプラントを長く快適にご使用いただくために、治療後のメインテナンスは欠かせません。毎日のご自宅での丁寧なケアに加え、歯科医院での定期的な口腔内チェックや専門的なクリーニングが必要です。汚れが蓄積すると、歯周病と同じようにインプラント周囲炎を引き起こし、最悪の場合インプラントが抜け落ちるトラブルに繋がることもあります。
治療後のお口の健康を維持し、インプラントの寿命を延ばすためにも、3ヶ月〜半年に一度の定期検診にお越しください。
部門
キッズスペース
壁にお絵描きしたり、ハンモックに揺られ本を読んだりボルダリングの壁登りを楽しめます。小さいお子さんがいる親御さんも安心して治療が受けられます。
